Introduction
If you are considering having a DEXA bone density scan to assess your risk of osteoporosis, where you have it done will significantly impact the accuracy of the results, and whether they will provide you with the information you want.
While dual-energy X-ray absorptiometry (DEXA) bone density scans are considered the gold standard for assessing bone mineral density (BMD), it is important to note that there is a large difference in the accuracy of scans obtained from non-accredited imaging centers offering bone density scans as a service, and facilities specializing in bone densitometry. An accurate scan enables doctors to rule out or establish a diagnosis and provides opportunity for timely treatment recommendations, including dietary and lifestyle modifications.
Accredited Facilities for DEXA Bone Density Scans
For bone density scan data to be reliable in ruling out or diagnosing osteopenia or osteoporosis, it’s important that the scans are conducted by a trained bone densitometry technologist in a facility that adheres to accreditation standards established by the International Society for Clinical Densitometry (ISCD), and in Canada, by the local College of Physicians and Surgeons of the province. Finally, the scans must be reviewed by a Radiologist before a report is generated.
In British Columbia, the accreditation of bone densitometry facilities is overseen by the College of Physicians and Surgeons of British Columbia (CPSBC). They operate the Diagnostic Accreditation Program (DAP), which ensures the quality and safety of a range of diagnostic services. The DAP not only verifies that a facility meets the necessary quality standards but ensures that they consistently maintain those standards.
Accredited facilities must adhere to the Accreditation Standards for Diagnostic Imaging from the College of Physicians and Surgeons [1]. These standards outline that bone densitometry facilities must have a Medical Director overseeing operations and that technologists must either be certified with the ISCD or have obtained specific Continuing Medical Education (CME) credits in bone densitometry.
Summary of Accreditation Standards
The bone densitometry section of the Accreditation Standards consists of ten pages of requirements, including:
- Patient preparation for the exam
- Standard imaging procedure protocols
- Ensuring current and accurate medical records are kept
- Standardized diagnostic reports providing necessary information for clinical decision making
- Safe operation and maintenance of equipment
- Acceptance testing and quality assurance programs

Standardized patient preparation requirements from the CPSBC
Clinical standards require that specific information be collected before a scan, such as taking a clinically relevant medical history (fractures, chronic illness, medications), ensuring no recent barium x-rays were performed, and accurately measuring height and weight at the time of the exam using a stadiometer.
Imaging Centers vs. Accredited Facilities
Imaging centers that provide DEXA scans as a service are often businesses and may not be clinically regulated. There are often no physicians or radiologists involved. These businesses are not required to meet the international standards of the ISCD or local clinical standards. For example, height and weight may be estimated rather than accurately measured, and medical history questions may be limited or non-existent.
Image Quality and Measurement Accuracy
In accredited facilities, rigorous standards ensure high image quality. Images must be clear and well-defined. Images from non-accredited centers often lack the contrast and definition required for clinical usefulness.

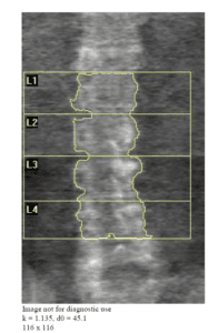
Comparison of image quality between clinical and retail scans
Accuracy in measurement is also critical. For hip scans, it is essential that the neck of the femur is measured at the narrowest part [4]. Retail scans often fail to accurately identify and measure this specific area.

Similarly, spinal images from accredited facilities show equal amounts of soft tissue on either side of the spine with vertebrae markers precisely placed in the disk space. In non-accredited centers, the height of each vertebrae can vary considerably due to poor contrast or positioning.

Finding an Accredited Facility
In British Columbia, a list of accredited diagnostic imaging facilities is available through the College of Physicians and Surgeons [5]. The ISCD also maintains a searchable international list of accredited facilities. Checking with your local College of Physicians and Surgeons is the best way to ensure your facility meets these rigorous standards.
Final Thoughts…
For data from a DEXA bone density scan to be reliable for diagnosing osteopenia or osteoporosis, it needs to be performed at an accredited facility. If you want to assess your risk, speak with your doctor to get a referral to a clinical facility that follows these essential protocols.
Learn about me and the support I can provide to help you preserve bone mass as you age. View my Healthy Aging Package.
To your good health,
Joy
You can follow me on:
Twitter: https://twitter.com/jyerdile
Facebook: https://www.facebook.com/BetterByDesignNutrition/
References
- College of Physicians and Surgeons of British Columbia. (2024). Accreditation Standards: Diagnostic Imaging. [https://www.cpsbc.ca/accredited-facilities/dap/accreditation-standards-DI]
- International Society for Clinical Densitometry (ISCD). (2021). Best Practices for Dual-Energy X-ray Absorptiometry (DXA) Measurement and Reporting. [https://iscd.org/wp-content/uploads/2021/08/Best-Practices-DXA-Article.pdf]
- HealthLink BC. (2024). Bone Density Test. [https://www.healthlinkbc.ca/tests-treatments-medications/medical-tests/bone-density]
- Bone Health & Osteoporosis Foundation. (2024). DXA Basics – Interdisciplinary Symposium on Osteoporosis. [https://www.bonehealthandosteoporosis.org/]
- College of Physicians and Surgeons of British Columbia. (2024). DAP Accredited Facilities – Diagnostic Imaging. [https://www.cpsbc.ca/files/pdf/DAP-Accredited-Facilities-DI.pdf]

© 2025 BetterByDesign Nutrition Ltd.

Joy is a Registered Dietitian Nutritionist and owner of BetterByDesign Nutrition Ltd. She has a postgraduate degree in Human Nutrition, is a published mental health nutrition researcher, and has been supporting clients’ needs since 2008. Joy is licensed in BC, Alberta, and Ontario, and her areas of expertise range from routine health, chronic disease management, and digestive health to therapeutic diets. Joy is passionate about helping people feel better and believes that Nutrition is BetterByDesign©.